Інформація призначена тільки для фахівців сфери охорони здоров'я, осіб,
які мають вищу або середню спеціальну медичну освіту.

Підтвердіть, що Ви є фахівцем у сфері охорони здоров'я.

Журнал «Здоровье ребенка» 6 (57) 2014

Вернуться к номеру

Случай болезни Розаи — Дорфмана у ребенка

Авторы: Веселый С.В., Абдуллин Р.Ф., Черкун А.В., Иноземцев И.Н., Литовка В.К., Лепихов П.А., Кондратенко Е.Г. - Донецкий национальный медицинский университет им. М. Горького; Областная детская клиническая больница, г. Донецк

Рубрики: Педиатрия/Неонатология, Хирургия

Разделы: Справочник специалиста

Версия для печати


Резюме

Синусный гистиоцитоз с массивной лимфаденопатией встречается у детей редко. В статье приведено описание случая болезни Розаи — Дорфмана у мальчика 3  лет. Заподозрить болезнь Розаи — Дорфмана позволило возникновение лимфаденопатии, преимущественно цервикальной, с одновременным поражением экстранодальной зоны — селезенки. Для уточнения диагноза использовали УЗИ. Окончательный диагноз был установлен в результате хирургического удаления конгломерата лимфоузлов шеи, гистологического и гистохимического исследования. После проведенного оперативного вмешательства ребенок выписан для прохождения дальнейшего лечения в отделении онкогематологии.

Синусний гістіоцитоз із масивною лімфаденопатією зустрічається в дітей рідко. У статті наведено опис випадку хвороби Розаї — Дорфмана в хлопчика 3 років. Запідозрити хворобу Розаї — Дорфмана дозволило виникнення лімфаденопатії, переважно цервікальної, з одночасним ураженням екстранодальної зони — селезінки. Для уточнення діагнозу використовували УЗД. Остаточний діагноз був установлений у результаті хірургічного видалення конгломерату лімфовузлів шиї, гістологічного та гістохімічного дослідження. Після проведеного оперативного втручання дитина виписана для проходження подальшого лікування у відділенні онкогематології.

Sinus histiocytosis with massive lymphadenopathy is rare in children. The article describes a case of Rosai — Dorfman disease in 3-year-old boy. The emergence of lymphadenopathy, mainly cervical one, with synchronous lesion of extranodal area — spleen, enabled to suspect Rosai — Dorfman disease. To clarify the diagnosis, ultrasound has been used. The final diagnosis was established as a result of surgical removal of the lymph nodes of the neck, histological and histochemical study. Following the surgery, the child was discharged for further treatment at the department of oncohematology.


Ключевые слова

болезнь Розаи — Дорфмана, гистиоцитоз, дети.

хвороба Розаї — Дорфмана, гістіоцитоз, діти.

Rosai — Dorfman disease, histiocytosis, children.

Статья опубликована на с. 118-121

Гистиоцитарные синдромы включают разнообразную группу заболеваний, которые характеризуются пролиферативными процессами в клетках системы фагоцитирующих мононуклеаров. В зависимости от степени зрелости и дифференцировки гистиоцитарных элементов существуют различные формы заболевания, имеющие особенности клинического течения, прогноза и лечения. В соответствии с данными Международного общества по изучению гистиоцитозов выделяют распространенную группу гистиоцитозов из клеток Лангерганса (I класс), существенно реже встречающиеся гистиоцитозы нелангергансового типа (II класс) и злокачественные гистиоцитарные заболевания (III класс) [1].

Синусный гистиоцитоз с массивной лимфаденопатией (СГМЛ) впервые описан в 1969 году Juan Rosai и Ronald Dorfman, относится к нелангергансоклеточным гистиоцитозам и представляет собой редкое заболевание, характеризующееся накоплением пролиферирующих гистиоцитов как в синусах лимфатических узлов с их массивным увеличением, так и в экстранодальных зонах [2]. До настоящего времени его этиология не установлена. Данное заболевание редко встречается в любом возрасте, но относительно часто выявляется у детей и подростков [5]. В процесс вовлекаются преимущественно шейные лимфатические узлы с их двусторонним поражением. Более редкой локализацией данного заболевания являются подмышечные, медиастинальные и паховые лимфоузлы [3, 4]. За последние 20 лет в нашей клинике лечился только один ребенок с болезнью Розаи — Дорфмана. В подтверждение сказанного приводим наше наблюдение.

Больной Г., 3 года (история болезни № 2399), поступил 03.03.2014 г. в хирургическое отделение областной детской клинической больницы (ОДКБ) г. Донецка с жалобами на наличие опухолевидного образования на боковой поверхности шеи слева. Болеет в течение месяца, когда родители заметили асимметрию и деформирующую припухлость шеи. Ребенок получал консервативное лечение по месту жительства без положительного эффекта. Ввиду неэффективности проводимой терапии пациент был консультирован гематологом, а затем направлен в клинику детской хирургии ОДКБ.

Анамнез жизни без особенностей. Родился путем кесарева сечения. Вес при рождении 3800 г. Привит, растет и развивается по возрасту. Аллергию отрицают. На диспансерном учете не состоит. Наследственность не отягощена. При поступлении самочувствие удовлетворительное. Кожные покровы чистые. В легких дыхание пуэрильное. Деятельность сердца ритмичная. Живот не вздут, мягкий, доступен пальпации во всех отделах. Место болезни: в области шеи слева, в проекции верхней трети кивательной мышцы, определяется бугристое образование неправильной округлой формы, около 4,0 см в диаметре, плотноэластичной консистенции, безболезненное при пальпации, кожа над опухолью не изменена. В клинике ребенок обследован. В общеклиническом анализе крови — без патологии. Обзорная рентгенография органов грудной клетки изменений не выявила. Произведено УЗИ шеи: слева под кивательной мышцей визуализируются увеличенные лимфатические узлы, один из которых размером 31 x 18 x 23 мм, округлой формы, гипоэхогенные, однородные. Ниже него, под кивательной мышцей, визуализируется цепочка мелких (до 8 мм) лимфатических узлов, с четкими ровными контурами. Сосудистый рисунок в узлах сохранен. Окружающие ткани отечные. УЗИ органов брюшной полости: эхопризнаки очаговых изменений селезенки (рис. 1), диффузные изменения печени. Был выставлен клинический диагноз: подозрение на лимфогранулематоз с преимущественным поражением шейных лимфоузлов.

04.03.2014 г. произведено оперативное лечение (хирург — д.м.н., проф. Веселый С.В.). После обработки операционного поля по боковой поверхности шеи произведен разрез кожи длиной 4,0 см. Гемостаз. Рассечена поверхностная фасция, латеральное брюшко кивательной мышцы отведено медиально. При ревизии установлено, что опухоль представлена конгломератом лимфоузлов 4,0 x 4,5 см, в капсуле, белесовато-серого цвета. Конгломерат лимфатических узлов в полном объеме мобилизован из окружающих тканей и удален. Рана дренирована резиновым выпускником через отдельную контрапертуру. Послойное ушивание раны. Туалет. Асептическая повязка. Произведены пункция и аспирация костного мозга из грудины и гребней обеих подвздошных костей, трепан-биопсия обеих подвздошных костей. Диагноз после операции: лимфопролиферативное заболевание, лимфогранулематоз?

Гистологическое заключение (№ 1619–34). В лимфатических узлах капсула утолщена за счет разрастания плотной волокнистой соединительной ткани, на большом протяжении структура нарушена с резким расширением синусов (рис. 2).

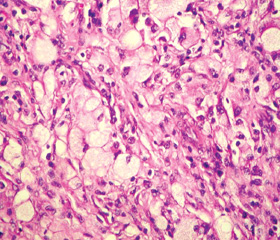
В просвете синусов располагаются лимфоциты, плазматические клетки и большое количество крупных полигональных гистиоцитов с нечеткими контурами, обильной эозинофильной, местами вакуолизированной цитоплазмой. Ядра этих клеток крупные, округлой формы, гипохромные, с четко выраженным, парацентрально расположенным ядрышком и мелкодисперсным хроматином, сконцентрированным преимущественно под ядерной оболочкой (рис. 3а).

Во многих полях зрения выражен эмпериополез с наличием лимфоцитов и плазматических клеток в цитоплазме гистиоцитов (рис. 3б). При иммуногистохимическом исследовании данные клетки экспрессируют S100 (рис. 3г), негативны на CD1a.

В просвете синусов отмечаются скопления крупных клеток различной формы со светлой пенистой цитоплазмой и округлым светлым ядром, смещенным на периферию клетки (липидосодержащие гистиоциты) (рис. 3в). Заключение: гистологическая картина и иммунофенотип клеток соответствуют синусовому гистиоцитозу с массивной лимфаденопатией (болезнь Розаи — Дорфмана).

Результаты миелограммы: красный росток сокращен, эритропоэз по эритроцитарному типу, среди лимфоцитов встречаются в небольшом количестве атипичные лимфоциты с неправильной формой ядра и бороздчатой структурой хроматина.

Послеоперационный период протекал гладко. Швы сняты на 8-е сутки, рана зажила первичным натяжением. Ребенок выписан для прохождения дальнейшего лечения в отделении онкогематологии.

Таким образом, синусный гистиоцитоз с массивной лимфаденопатией встречается у детей редко. Заподозрить болезнь Розаи — Дорфмана позволяет возникновение лимфаденопатии, преимущественно цервикальной, с одновременным поражением экстранодальных зон (чаще всего селезенки). Для уточнения диагноза целесообразно использование УЗИ, компьютерной томографии. Окончательный диагноз устанавливается после хирургического удаления (биопсии) конгломерата лимфоузлов, гистологического и гистохимического исследования.


Список литературы

1. Львов А.Н., Волощук И.Н., Варшавский В.А., Горбачева Ю.В., Бобко С.И. Синусный гистиоцитоз (болезнь Розаи — Дорфмана): клиническое наблюдение // Вестник дерматологии и венерологии. — 2011. — № 5. — С. 115–120.

2. Райт Д., Эддис Б., Леонг Э. Морфологическая диагностика патологии лимфатических узлов. — М.: Медлит, 2008. — 176 с.

3. Duval M., Nguyen V.H., Daniel S.J. Rosai-Dorfman disease: An uncommon cause of massive cervical adenopathy in a two-year-old female // Otolaryngol. Head Neck Surg. — 2009. — Vol. 140, № 2. — Р. 274–275.

4. Felipe Barbosa Lima, Pedro Samuel de Valões Barcelos, Ana Paula Nunes Constâncio. Rosai-Dorfman disease with spontaneous resolution: case report of a child // Rev. Bras. Hematol. Hemoter. — 2011. — Vol. 33, № 4. — Р. 312–314.

5. Juskevicius R., Finlay J.L. Rosai-Dorfman disease of the parotid gland, cytologic and histopathologic findings with immunohistochemical correlation // Arch. Pathol. Lab. Med. — 2001. — Vol. 125. — P. 1348–1350.


Вернуться к номеру